USG method for pregnancy diagnosis and monitoring in a mare.

USG method for pregnancy diagnosis and monitoring in a mare.
 
by
Reis OZMEN
Erasmus Student
Uludag University,Turkey
 
•Protocol (When Ovulation Time is Known)
First exam                         Day 14 to 15
Second exam                    Day 24 to 27
Third exam                        Day 33 to 35
Autumn exam                          October
(day of ovulation is Day 0)
 
•Pregnancy diagnosis by ultrasound may initially be performed 12 to 18 days after ovulation.
•By day 16 of pregnancy the vesicle is normally fixed at the base of either the left or the right horn. The shape is still regular, but more ovoid than strictly spherical. 
•All embryos should be detectable by day 24.  By day 24 of pregnancy, the embryo is approximately 6 mm in length.  The heartbeat can normally be detected as a flickering movement in the middle of the echoic embryo around this stage of pregnancy.
-Ultrasound examination on or before day 16 is also beneficial for the identification and management of twins, scheduling of rebreeding in open mares, and early detection of problems associated with pregnancy.
-Between 25 and 35 days of pregnancy to confirm that the pregnancy is still viable. The actual embryo, with a tiny heart beating regularly, can be seen within the fluid-filled embryonic vesicle after day 25.
•In the day 28-29 pregnancy note the developing allantois, the regressing yolk sac and the associated dorsal 'ascent' of the embryo.  The apposition of yolk sac and allantois results in an ultrasonically visible thin line normally orientated horizontally.  The embryo is visible as an echoic mass on this line. By day 33 the embryo is usually in the dorsal part of the vesicle often at a "2 o'clock" position.  The embryo is approximately 14 mm in length.
•By day 45, the foetus has descended approximately two-thirds of the way towards the ventral part of the allantois.  The developing head of the foetus is recognisable.
 
In summary, ultrasonography is the most useful tool for early pregnancy diagnosis, of twins, and detection of uterine or ovarian problems.

 



Galeria




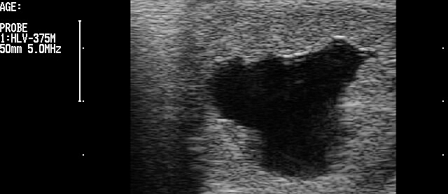
13 days old embryo


15 days old embryo